Cientistas registram cérebro de um homem no exato momento em que ele disse ter visto Deus
Existem vários relatos incríveis de casos médicos, coisas um tanto esquisitas que acontecem e que dificilmente acreditamos que realmente aconteceu. Recentemente uma equipe de pesquisa israelense relatou como um paciente teve uma intensa experiência religiosa durante um tratamento de epilepsia, que fez com que ele visse e conversasse com Deus, tudo isso enquanto estava conectado a um escaneador de eletroencefalograma.
O paciente, que tem 46 anos, nunca foi particularmente religioso, apesar de se considerar um Judeu. Mas o que fez com que um “descrente” tivesse uma intensa experiência religiosa na frente de alguns neurocientistas? Epilepsia do lobo temporal direito, esse é o problema que o paciente sofreu durante a vida inteira, um tipo de epilepsia no qual as convulsões e ataques começam no lobo temporal, e causam emoções estranhas, ou faz velhas memórias serem revividas, ou causam alucinações de vozes, músicas, pessoas, cheiros ou sabores. Estas experiências duram poucos segundos, ou no máximo alguns minutos.

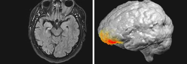
Como podemos ver, do lado esquerdo temos o cérebro do paciente, e do lado direito temos a localização da atividade neural durante a experiência religiosa.
Nesse caso, o tratamento envolvia parar de tomar a medicação anticonvulsiva, drogas que suprimem o disparo rápido e excessivo dos neurônios durante os ataques, e evitam que eles se espalham para outras regiões do cérebro. O relato dos médicos durante o eletroencefalograma que registrou o cérebro do paciente enquanto ele alucinava estar falando com Deus:
“Enquanto deitado no leito, o paciente subitamente ‘congelou’ e ficou olhando para o teto por vários minutos, declarando mais tarde que sentiu que Deus estava se aproximando dele. Ele então começou a recitar orações calmamente, e procurou seu Kippa (chapéu sem aba cerimonial dos judeus), colocou-o na cabeça, recitando suas orações mais intensamente. Então, abruptamente, ele gritou ‘E você é Adonai (nome do Deus Hebreu) o Senhor!’ declarando mais tarde que Deus se revelara a ele, ordenando que ele trouxesse a redenção ao povo de Israel.”

Mesmo depois de tirar os eletrodos, o paciente ficou andando pelo hospital, dizendo a quem quer que ele encontrasse que “Deus me mandou para você.” Mas o mais impressionante foi o registro da atividade cerebral do homem, onde o relatório aponta um pico de atividade na banda gama baixa (30-40 Hz) no córtex pré-frontal esquerdo no momento exato da experiência sobrenatural, o lado oposto do cérebro onde as convulsões se originam. O diagnóstico era que o paciente estava experimentando “delírios religiosos de revelação e zelo missionário no contexto da psicose pós-ictal” (PPI).
Mas o que é a PPI? Uma complicação severa, mas rara, que pode seguir-se a uma convulsão, normalmente causando alucinações visuais ou auditórias, delírios, paranoias, e às vezes até mesmo agressão. Mas ninguém sabe dizer porque este paciente teve um PPI desta vez, sem nunca ter tido antes, ou porque ela era de natureza religiosa.

Sem comentários: